Commentary on high flow, non-ischemic, priapism
High-flow, non-ischemic priapism is a rare condition, with which many urologists and andrologists are unfamiliar. There are three types of high-flow priapism: traumatic, neurogenic and post-shunting. Traumatic high-flow priapism may arise from penetrating or blunt trauma to the penis resulting in rupture of the cavernous artery or its branches. Despite the unregulated large arterial flow, this does not result in rigid and painful erections, as seen in low-flow, ischemic priapism, because the venous channels are still competent. The neurogenic type is seen after irritation or injury to the central nervous system, and this is typically self-limiting. If this type persists, then it may change to ischemic priapism, and should be treated accordingly. Post-shunting high-flow priapism is a result of reactive hyperemia in response to the hypoxic and acidotic state of ischemicpriapism that lasts more than 24 hours. This condition will continue only if the shunt remains open. Once the hyperemic state subsides, the minimal flow in the flaccid penis will not be able to keep the shunt open leading to its spontaneous closure in most cases. In general, since blood circulation into and out of the corpora cavernosa is not impeded in cases of high-flow priapism, the condition is not painful, the penis is not completely rigid, and the prognosis is excellent if it is treated properly.
It is important to note that ALL ischemic priapism begins with increased arterial flow to the corpora cavernosa and a blood gas taken in the first few hours of priapism may not reflect the typical findings of hypoxia and acidosis seen in prolonged priapism (1). Moreover, after aspiration or evacuation of the old blood in ischemic priapism, one would see return of fresh blood and blood gases consistent with arterial blood. To mistake this condition for high-flow priapism is erroneous.
Case presentation 1
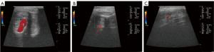
A 21-year-old man was referred to our clinic because of erectile dysfunction. Three years ago, he suffered from a blunt skate board injury to the perineum. The patient had no immediate sequelae from the injury except local tenderness, but the next morning he awoke with a partially erect penis (Comment 1). This was accompanied by difficulty attaining an erection sufficient for sexual intercourse (Comment 2). He was diagnosed elsewhere with high-flow priapism secondary to an arterial sinusoidal fistula. He underwent an embolization of the arterial sinusoidal fistula in January of 2007. He underwent two subsequent embolizations, which stopped his partial erections but his erectile dysfunction (ED) persisted. On physical exam, he had a normal-looking flaccid phallus with slight fullness. A color duplex ultrasound of his crura identified that hismain cavernous artery opened directly to a cystic cavity with large turbulent flow (Comment 3, Figure 1A,B).
As he had already had 3 previous embolizations and persistent ED, he wished to have a more definitive therapy. He was taken to the operating room for open ligation of the ruptured right cavernous artery. An intraoperative ultrasound helped identify the depth and location of the cystic cavity that was surrounded by a thick fibrous sheath. Once the fibrous sheath was opened, a single arterial bleeder was identified along with several venous outlets within the cystic cavity. Several 4-0 Maxon sutures were used to suture-ligate these bleeders and to imbricate the cystic cavity. He was discharged with Ketoconazole 200 mg twice a day and prednisone 5 mg daily (Comment 4) for one month (2). Postoperative ultrasound 1 month later revealed complete resolution of the arterial sinusoidal fistula and cavity (Figure 1C). The patient regained normal erectile function 3 months later.
Case presentation 2
This is a 29-year-old man who suffered bruising and swelling to his scrotum and base of the penis after a motorcycle accident. Six days later, he came to the clinic because of a persistent partial erection that was not painful. Physical examination revealed a partial erection and tenderness at right base of the penis. A color duplex ultrasound revealed a well-defined main cavernous artery and turbulent flow in the surrounding area indicative of rupture of a branch of the cavernous artery (Figure 2A). A diagnosis of high-flow, non-ischemic, priapism was made and he was treated with ketoconazole 200 mg twice per day, and prednisone 5 mg daily to suppress nocturnal erections (Comment 5). A follow up one month later revealed normal flaccidity of the penis, and color duplex ultrasound showed resolution of the arterial sinusoidal fistula. However, there was increased echogenicity in the erectile tissue suggestive of early fibrosis secondary to the tissue contusion (Comment 6). Ketoconazole was discontinued after 1 more month and the patient was given pentoxifylline 400 mg three times/day for 3 months to help resolve the fibrosis. Six months after injury, the patient had complete return of normal erectile function.
Case presentation 3
A 30-year-old man developed a painful rigid priapism after taking trazodone for insomnia. He underwent a successful Al Gohrab shunt about 36 hours later. The pain subsided, but the penis remained in a semi-erect state with about 70% rigidity. Physical examination revealed a firm but compressible penis. A color duplex ultrasound sound performed by a radiologist was reported as “high-flow priapism” with peak flow velocity of more than 40 cm/second in both cavernous arteries. The urologist was alarmed by the report and requested embolization of bilateral penile arteries. The semi-rigid erection took three more weeks to subside. The patient never recovered erectile function. A color duplex ultrasound performed 1 year later revealed severe arterial insufficiency with peak flow velocity of 15 cm/second in both cavernous arteries.
Comments
Comment 1: The cavernous artery is well protected by the surrounding erectile tissue and the tunica albuginea. A blunt injury of enough strength may cause damage to the erectile tissue and cavernous artery or its branches. A typical straddle injury usually occurs while the penis is in the flaccid state and the cavernous artery is constricted. Therefore, no change of penile morphology or function is expected shortly after injury. A high-flow, non-ischemic priapism state typically occurs with the onset of nocturnal erections when the sudden increase of blood flow and pressure in the cavernous arteries “blows up” the injured portion of the artery, resulting in unregulated flow into the sinusoids, and a persistent partial erection.
Comment 2: This is a paradoxical condition because, with the high baseline blood flow to the corpora cavernosa, one would expect the patient to have better erections. Nevertheless, the majority of patients experience difficulty in achieving and maintaining erection. The cause is unknown but it may be due to the depletion of endothelial nitric oxide from continuing sheer stress on the sinusoidal endothelium.
Comment 3: In this case, the main cavernous artery opens directly to the cystic cavity. During erections, the cavernous artery can double its diameter and deliver more than 50 mL/min of blood flow to the penis in a young man. This large increase in diameter and flow during erections may re-open the thrombosed artery and explain the failure of the three previous embolizations.
Comment 4: Nocturnal penile erections are testosterone dependent (3) and therefore can be suppressed by androgen ablation therapy such as oral ketoconazole. Since the patient has failed three prior interventions, we feel that suppression of nocturnal erections after surgery should help decrease the chance of recurrence.
Comment 5: A small arterial bleeder may become thrombosed due to vasoconstriction or external compression. Elimination of nocturnal erections by androgen ablation therapy reduces the blood flow in the ruptured branch to a minimum and facilitates thrombosis at the ruptured site. This may not occur in case of main cavernous artery rupture.
Comment 6: The cavernous artery and its branches are protected by tunica albuginea and the erectile tissues. An external injury that is severe enough to damage the artery is expected to damage the surrounding erectile tissue too. Therefore, erectile function recovery usually takes several months and an antifibrotic agent such as pentoxifylline (4) is a useful adjunct after the unregulated bleeding has resolved.
Expert opinion
We reviewed our 30 years’ experience and proposed a new approach to this rare condition (Figure 3). All cases suspected of high-flowpriapism should undergo color duplex ultrasound to confirm the diagnosis. The entire penis, including bilateral crura should be carefully scanned. Local compression with ice pack may cause spasm and thrombosis of the ruptured artery in the early stage especially if the injury involves a small branch of the cavernous artery. If the condition is bothersome (because of ED or persistent partial erection) and the patient wishes to receive treatment, androgen ablation therapy for 1-2 months is our choice. We recommend angiographic embolization only for those with rupture of the main cavernous artery. We would also place these patients on androgen ablation therapy for 1 month after embolization to prevent its recurrence. Surgical exploration and suture ligation of the ruptured artery is only indicated in those with a thick psudocapsule which may take 6 months or longer to develop. In high-flowpriapism, contusion of erectile tissue around the ruptured artery always occurs. Therefore, we recommend antifibrotic agents such as pentoxifylline for 3 months to reduce fibrosis after the high-flowpriapism is corrected.
Acknowledgements
None.
Footnote
Conflicts of Interest: The authors have no conflicts of interest to declare.
References
- Bella AJ, Lue TF. Colour duplex ultrasound and simplified corporoglanular shunting procedures with and without tunnelling in contemporary management of priapism. Can Urol Assoc J 2009;3:312-3. [PubMed]
- Mwamukonda KB, Chi T, Shindel AW, et al. Androgen blockade for the treatment of high-flow priapism. J Sex Med 2010;7:2532-7. [PubMed]
- Granata AR, Rochira V, Lerchl A, et al. Relationship between sleep-related erections and testosterone levels in men. J Androl 1997;18:522-7. [PubMed]
- Shindel AW, Lin G, Ning H, et al. Pentoxifylline attenuates transforming growth factor-β1-stimulated collagen deposition and elastogenesis in human tunica albuginea-derived fibroblasts part 1: impact on extracellular matrix. J Sex Med 2010;7:2077-85. [PubMed]


