Effects of Stellera chamaejasme on microvascular density and apoptosis of cancer cells in a rat bladder tumor model
Introduction
Bladder cancer is the most common malignant tumor of the genitourinary system. It usually occurs on the bladder mucosa, and its main pathologic types include urothelial bladder 3 carcinoma, squamous cell carcinoma of the bladder, and bladder adenocarcinoma (1). The disease mostly occurs in middle-aged and elderly people aged 40–60 years and accounts for 3.2% of all malignant tumors globally (2). The age-standardized incidence rate of males is 37/100,000, and the rate of females is 1.98/100,000 (3). About 100,000 patients die of this disease every year, and the number has been rising in recent years (4). The main clinical manifestations of bladder cancer often include painless, intermittent, total gross hematuria and bladder irritation. Currently, treatments include surgery, chemotherapy, radiotherapy, and immunotherapy. Early and effective treatment can significantly reduce the death rate (5), and the safer and more effective therapeutic drugs are the main focuses in the current researches. Tumor angiogenesis refers to the formation of new blood vessels by the differentiation of endothelial cells from the already existing tumor vascular network. In the absence of tumor angiogenesis, the tumor grows only 1–2 mm in diameter and is in a dormant state (6). The progressive growth of solid tumors depends mainly on the tumor vascular network generated by their induction, and the microvascular network also provides the necessary pathway for tumor bloodstream metastasis (7). Existing research found that the microvascular density (MVD) of tumor tissues is related to apoptosis (8). Therefore, when MVD is reduced or even disappears, this prevents a large number of tumor cells from metabolizing, thus causing massive apoptosis and necrosis of tumor cells, and the purpose of tumor treatment can be achieved. Stellera chamaejasme is a plant belonging to the Thymelaeaceae family, Daphne genus. Its roots have medicinal properties. It is widely distributed in China’s northwest, southwest, and northeast. It tastes bitter and flat and can be used to dispel retained water, clear phlegm, achieve accumulation, and kill insects. It has long been used for the treatment of mange, intractable skin diseases, chronic bronchitis, and tuberculosis (9). In recent years, many scholars have studied the in vitro antitumor effects of water extracts of Stellera chamaejasme (10), which can significantly inhibit the proliferation of prostate cancer cells (11,12). However, there are few reports on microvascular density and cell apoptosis induced by Chamaejasmin on bladder cancer in rats, and the data are incomplete, which is a gap in clinical treatment of bladder cancer. In order to provide experimental basis for the study of human bladder cancer and provide ideas for clinical treatment of bladder cancer, the effects of Daphne wolfsill on the microvascular density and cell apoptosis of bladder cancer rats were studied. We present the following article in accordance with the ARRIVE reporting checklist (available at https://tau.amegroups.com/article/view/10.21037/tau-22-32/rc).
Methods
Laboratory animals
Seventy-five 5–6 weeks old specific pathogen-free (SPF)-grade Sprague-Dawley (SD) rats with body masses of 250–300 g was purchased from Shanghai Jiesijie Laboratory Animal Co., Ltd. with animal use certificate No. SCXK (H) 2018-0004. The animals were reared in separate cages under a 12-hour light and dark cycle environment every day and were kept in an environment with 40–60% humidity and at 21–26 ℃, eating and drinking freely. Experiments were conducted after one week of adaptive rearing. The experiment was carried out according to the project license (No. P-SL-2018020) issued by the ethics committee of the Qinghai University Affiliated Hospital, which is in line with the institutional guidelines of Qinghai University Affiliated Hospital for animal care and use. A protocol was prepared before the study without registration.
Animal model making and grouping
The animals were randomly grouped into 15 animals in the negative control (NC) group and 60 animals in the modeling group. The rats in the modeling group received bladder perfusion through urine retrograde. The carcinogenic agent N-methyl-N-nitrosourea (MNU) was perfused once every 2 weeks (20 g/L with 0.1 M citric acid buffer of pH =6.0) with 2 mg of MNU 4 times in total, and the total amount of MNU was 8 mg for each rat. The rats in the control group were perfused with an equal amount of saline. A batch of rats was euthanized at 3, 6, 9, 12, and 14 weeks after the experiment. Three rats were taken from the control and modeling groups at each time point, and their bladder tissues were taken, photographed, and recorded, and HE staining was used to observe the pathological changes in the rat bladder tissues.
After 14 weeks, the modeling was finished, and 21 rats died. A total of 24 rats were alive in the model group and were randomly classified into the model group, the low-dose (L-dose) group, the medium-dose (M-dose) group, the high-dose (H-dose) group, and the positive drug [hydroxycamptothecine (HCPT)] group. According to the pre-experiment, in the L-dose group, the Stellera chamaejasme solution was diluted with water to 5 g/mL (the method to prepare the water extract of Stellera chamaejasme is as follows: take 200 g of the root and stem, cut into pieces, add 400 mL of water, soak the pieces as far as possible, boil, and concentrate to 20 g/mL). In the M-dose and H-dose groups, 20 g/mL of the original solution was used. After urine was drained, bladder perfusion was performed at 1 mL/kg, namely, 5, 10, and 20 g/kg in three dose groups, respectively. The positive drug hydroxycamptothecin was administered at 2 mg/kg once a week for six weeks.
Specimen collection
The experiment was ended after 4 weeks. The remaining rats in each group were anesthetized intraperitoneally with 10% chloral hydrate. The bladder was taken quickly and the fat outside the bladder was removed. The urethra was severed at the bladder neck, and the bilateral ureters were severed against the bladder wall. The bladder was dissected in the anterior wall of the bladder, observed, and recorded, and cleaned with saline, and then placed on absorbent paper for 6 minutes. Then, the total weight of the bladder was weighed and the tumor inhibition rate was calculated [the tumor inhibition rate (%) = (average bladder weight of rats in the model group − average bladder weight of rats in treated group)/average bladder weight of rats in model group ×100].
Hematoxylin-eosin (HE) staining to observe the pathological changes of bladder tissues
Some bladder tissues were taken and fixed with 4% paraformaldehyde, and the samples were embedded in paraffin to make 3 µm-thick sections. After being dewaxed with xylene, gradient dehydrated with ethanol, stained with hematoxylin-eosin, gradient dehydrated with ethanol, made transparent with xylene, and sealed with neutral glue, the bladder tissue structures were observed under a microscope (400×). Pathological results were described following the “KOSS’s Diagnostic Cytology and Its Histopathological Bases” (13). The HE staining score was used for classification and grading. A score of 0 represented no cancerous tissue. A score of 0.5 represented slight hyperplasia. A score of 1 represented those with no epithelial heterogeneity or only moderate heterogeneity and moderate hyperplasia. A score of 2 represented those with moderate epithelial hyperplasia and heterogeneity. A score of 3 represented those with severe hyperplasia and high heterogeneity. A score of 4 represented papillary carcinoma. A score of 5 represented tumor infiltration and distant metastasis. A bladder inflammation score of 0 represented no inflammation, 1 represented inflammatory cell infiltration visible on the bladder surface and around microvessel, 2 represented inflammatory cells of 1–20 per piece of bladder tissue, 3 represented inflammatory cells of 21–100 per piece of bladder tissue, and 4 represented inflammatory cells >100 per piece of bladder tissue. The total pathology score was obtained by summing up the corresponding data for each group.
MVD count
The MVD count was carried out according to the method reported by Weidner (14). The tumor areas in the whole field of view were scanned at low magnification (40×), and the areas with high vascular density were selected. Vascular endothelial cells or vascular endothelial cell families stained brown by Factor VIII monoclonal antibody were counted at high magnification (200×). As long as there was a gap with adjacent microvessel, tumor cells, and connective tissue, it is considered as one microvessel. The number of microvessel stained brown in 5 fields of view was counted at 200×, and the average value was taken as the MVD value of the specimen.
Determination of vascular endothelial growth factor (VEGF) in bladder tissue by double antibody sandwich (ELISA) kit
Rat bladder tissue was taken, homogenized, and lysed by low-temperature ultrasonication, and the supernatant was collected. The content of VEGF in rat tissues and cells was detected by diluting the standards according to the instructions of the ELISA kit and plotting the standard curve.
Determination of in situ apoptosis by terminal deoxynucleotidyl transferase dUTP nick end labeling (TUNEL)
Rat bladder tissue sections were dewaxed and hydrated. The tissue proteins were removed by adding 20 µg/mL of Proteinase K working solution and incubating for 30 minutes at room temperature. After pretreatment, the operation was carried out strictly according to the instructions of the in situ apoptosis detection kit (Roche). An 0.05% DAB solution was added, and the color was developed for 3 minutes at room temperature. Then, the sections were dyed with methyl green, dehydrated, sealed, and fixed. Five randomly selected fields were photographed at 400× magnification of an ordinary light microscope, and the number of dye-positive cells was analyzed by ImageProPlus 5.0 software. The apoptotic index (%) = the number of apoptotic cells/total number of cells ×100%.
Detection of factor associated suicide (Fas), factor associated suicide ligand (FasL) and caspase3 in bladder tissues by western blot
About 50 mg of rat bladder tissue was taken, lysis solution and protease inhibitor were added, the tissue was sonicated on ice for 5 seconds repeated 4 times and centrifuged at 4 ℃. Then, the supernatant was collected. The total protein was quantified by ultraviolet spectrophotometry to obtain a protein of 5 g/L. A total of 50 µg of each electrophoresis lane was sampled, sodium dodecyl sulfate-polyacrylamide gel electrophoresis was used, and the products were transferred to a polyvinylidene fluoride (PVDF) membrane using protein electrophoresis transfer apparatus. Skim milk powder was closed for 2 hours, primary antibodies Fas (1:1,000), FasL (1:1,000), and caspase3 (1:500) + glyceraldehyde-3-phosphate dehydrogenase (GAPDH) (1:1,000) were added, and the membranes were incubated overnight at 4 °C. Then, the membrane was washed with tris buffered saline with tween (TBST), and goat anti-mouse secondary antibody (1:5,000) was added, incubated at room temperature for 5 h, and washed. The protein content was expressed as the ratio of the gray area of GAPDH bands to the electrophoretic bands.
Statistical methods
Statistical software SPSS 22.0 (IBM Corp, Armonk, NY, USA) was used for statistical processing. Data were expressed as mean ± SD. Comparisons among multiple groups were performed using one-way analysis of variance, and the pairwise comparison was performed by LSD method when homogeneity of variance was assumed. Dunnett’s T3 method was used when homogeneity of variance was not assumed. α=0.05 was used as the level of statistical significance.
Results
Results of rat modeling for bladder cancer at 3, 6, 9, 12, and 14 weeks
Results of HE staining of rat bladder pathological sections and bladders showed that, after the first MNU perfusion, the 3 rats randomly killed at week 3 showed no abnormality, the 3 rats randomly killed at week 6 showed moderate atypical hyperplasia, and the 3 rats randomly killed at week 9 showed moderate atypical hyperplasia, bladder mucosa, conical papillae, consistent cell arrangement, and no heteromorphism. Among the 3 rats randomly killed at week 12, 2 showed obvious canceration, and 1 showed severe proliferation of bladder wall cells. A total of 3 of the 3 experimental rats randomly treated at week 14 showed obvious canceration, with a 100% carcinogenesis rate, and bladder cancer could be successfully induced at week 14 after the first bladder perfusion of MNU (Figures 1,2).
Pathological examination of rat bladder tissues using the HE staining method
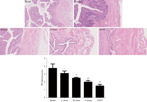
In the model group, the epithelial cells of the bladder tissue had high grade dysplasia and were disordered with different cell sizes. The nuclei had increased chromatin, deep staining, and nuclear division. The interstitium was edematous and congested with vascular dilatation, accompanied by a large amount of inflammatory cell infiltration, and some cancer cells invaded the mucosal lamina propria and muscle layer. In the L-dose group, the cell arrangement was disordered; some showed were high grade dysplasia, but most showed moderate grade dysplasia. In the M-dose group, the cell arrangement was also disordered; most showed moderate grade dysplasia with inflammatory cell infiltration. In the L-dose group and the positive group, the cell arrangement was disordered; most showed slight to moderate grade dysplasia with slight to moderate inflammatory cell infiltration. The pathological changes of the model group were compared with those of the Stellera chamaejasme L-dose, M-dose, and H-dose groups. We found that the cell levels of rat bladder cancer were reduced after treatment with Stellera chamaejasme. This indicated that, in MNU-induced rat bladder cancer, Stellera chamaejasme could inhibit cell canceration. In addition, the comparison of the differences in HE staining scores of bladder tissues in each group of rats was statistically significant (P<0.05). Compared with the model group, HE staining scores of bladder tissues in the L-dose, M-dose, H-dose, and HCPT groups were significantly lower after bladder perfusion with Stellera chamaejasme (P<0.05), and the results were dose-dependent. This indicated that the bladder perfusion of Stellera chamaejasme could significantly improve the pathological status of bladder tissues in rats with bladder cancer (Figure 3).
Comparison of bladder weight and tumor inhibition rate of rats in each group
Comparison of the differences in bladder weight and tumor inhibition rate of rats in each group was statistically significant (P<0.05). Compared with the model group, after bladder perfusion of Stellera chamaejasme, the rat bladder weight of the L-dose, M-dose, H-dose, and HCPT groups were significantly reduced (P<0.05), and the result was dose-dependent. This indicated that bladder perfusion of Stellera chamaejasme could significantly reduce the bladder weight and bladder tumor progression of rats with bladder cancer (Figure 4).
Comparison of microvessel density and VEGF expression in rats in each group
Comparison of the differences in microvessel density and VEGF expression in bladder tissue of rats in each group was statistically significant (P<0.05). Compared with the model group, after bladder perfusion of Stellera chamaejasme, the microvessel density and VEGF expression in bladder tissue of the L-dose, M-dose, H-dose, and HCPT groups were significantly decreased (P<0.05), and the results were dose-dependent. This indicated that bladder perfusion of Stellera chamaejasme could significantly reduce the angiogenesis of cancer tissue in rats with bladder cancer (Figure 5).
Comparison of apoptosis and expression of Fas, FasL, and caspase3 proteins in rat bladder cells in each group
Comparison of the differences in apoptosis and expression of Fas, FasL, and caspase3 proteins in rat bladder cells in each group was statistically significant (P<0.05). Compared with the model group, the apoptosis, and expression of Fas, FasL, and caspase 3 in bladder cells of the L-dose, M-dose, H-dose, and HCPT groups were significantly decreased (P<0.05), and the results were dose-dependent. This indicated that bladder perfusion of Stellera chamaejasme could significantly promote the expression of bladder cell apoptosis and apoptosis-related proteins in rats with bladder cancer (Figures 6,7).
Discussion
The pathogenesis of bladder cancer is not well understood, and both genetic factors and environmental factors play a role in the pathogenesis. The standard diagnostic methods for bladder cancer widely used in clinical practice include cystoscopy plus biopsy and urine cytology (15). Bladder cancer is one of the 10 malignant tumors with the highest mortality rate globally. However, surgery only removes the local tumor, and cancer cells still exist in the blood and lymph nodes. This disease cannot be cured completely by surgery, and there is a high risk of relapse and cancer cell metastasis. Therefore, the research and development of effective anti-bladder cancer drugs is of great importance to avoid and reduce bladder cancer mortality. The applied animal models in experimental studies of bladder cancer can be classified into four types, including spontaneous bladder tumor models, inducible bladder tumor models, transplanted bladder tumor animal models, and transgenic animal models (16). Among these, chemical carcinogens-induced cancers are most commonly used in inducible bladder tumor models, and the chemical carcinogens mainly include MNU, N-butyl-N-(4-hydroxybutyl)-nitrosamine (BBN), and FANFT (17). Of these, MNU is a direct bladder carcinogen. MNU-induced tumorigenesis and development consist of a typical pathological process from simple hyperplasia to papillary and nodular benign hyperplasia, papillary tumor, non-infiltrating carcinoma, and infiltrating carcinoma. This indicates that MNU bladder perfusion is bladder-specific, and the histological morphology and pathological features of MNU-induced bladder tumors are very similar to those of human bladder tumors (18). MNU has the following characteristics: (I) it has strong carcinogenicity, and can be carcinogenic in small doses; (II) it is carcinogenic to a variety of animals; and (III) it has an obvious affinity for organs. Therefore, MNU was chosen as an inducer to induce rat bladder cancer in this experiment. In this study, the pathological histological score at week 14 indicated successful modeling of rat bladder cancer.
In recent years, research has shown that Stellera chamaejasme is composed of coumarins, flavonoids, diterpenoids, and other trace elements, and it has inhibitory effects on various tumors such as liver, lung, and breast cancers (19). In this study, we used an extract of Stellera chamaejasme as a drug for bladder perfusion to observe its inhibitory effect on tumors in rat bladder cancer models. The results showed that, after treatment with Stellera chamaejasme, the tumor tissue cell level of rats with bladder cancer decreased, inflammatory cell infiltration improved significantly, the bladder weight decreased gradually with the increase in volume of the Stellera chamaejasme dose, and the tumor inhibition rate increased gradually. This indicated that Stellera chamaejasme has a good therapeutic effect on MNU-induced bladder cancer of rats.
The progressive growth of solid tumors depends mainly on the tumor vascular network that supplies the oxygen and nutrition required for the continuous proliferation of tumor cells, and the angiogenesis of tumors is a prerequisite for tumor growth and metastasis (20). Many studies have shown that the occurrence, progression, biological behavior, and prognosis of bladder tumors are closely related to angiogenesis (21). Inhibition of angiogenesis can reduce the tumor vascular network, inhibit tumor growth, and keep tumors in a dormant state (22). MVD is the number of microvessel per unit density in biological tissues including skin, muscle, and organs and is the gold standard for assessing the state of tumor angiogenesis (23). A variety of cells in organisms can express VEGF, which plays a key role in promoting vascular endothelial cell growth, inducing neovascularization, and regulating the development of blood vessels, and is one of the most important known vasoactive factors (24). Simonetti et al. (25) found that the expression of VEGF was higher in tumor tissues than in normal tissues, and they concluded that VEGF can promote tumor microvasculogenesis and play an important role in the occurrence and development of tumors. After bladder perfusion with Stellera chamaejasme, the growth of bladder tumors was inhibited, and, at the same time, the microvessel density and VEGF levels of tumors were significantly reduced. This indicated that the inhibition of bladder tumor growth by Stellera chamaejasme perfusion may be related to the inhibition of tumor angiogenesis.
Apoptosis is a regulated cell death process induced by death signals, therefore, inducing tumor cell apoptosis is an effective way to treat the tumor. There are two main apoptosis signaling pathways. One is that extracellular signals activate intracellular apoptotic enzymes and induce apoptosis, that is, the death receptor signaling pathway. The other is to activate apoptotic enzymes by releasing apoptotic enzyme activators from intracellular mitochondria (26). Study has confirmed that Fas/FasL is an important pathway for the death receptor signaling pathway to induce apoptosis (27). Fas is a membrane protein belonging to the tumor necrosis factor receptor superfamily. It plays an important role in cell apoptosis. After binding with the FasL ligand, Fas activates the downstream effector protein Caspase3 to induce apoptosis of cells expressing the Fas protein. Study has confirmed that apoptosis of bladder tumor cells is closely related to the Fas/FasL death receptor signaling pathway (28). In this experiment, apoptosis was significantly increased in bladder tumor cells of rats treated with Stellera chamaejasme, and both Fas/FasL and caspase3 protein expression were significantly increased. This suggests that the Fas/FasL death receptor signaling pathway may be involved in apoptosis induced by Stellera chamaejasme treatment in rats with bladder cancer. The effect of the change in expression of the Fas/FasL death receptor signaling pathway on apoptosis in rats with bladder cancer treated with Stellera chamaejasme needs to be further investigated. As does the role of other apoptosis-inducing pathways (such as the intracellular mitochondria-controlled apoptosis pathway) in the induction of apoptosis in rats with bladder cancer treated with Stellera chamaejasme. The results suggest that activation of the Fas/FasL death receptor signaling pathway and upregulation of the downstream caspase3 protein expression to induce apoptosis in bladder tumor cells may be one of the mechanisms of the anti-tumor effect of Stellera chamaejasme in rat bladder cancer.
Conclusions
MNU can be used to effectively prepare a rat bladder cancer model. Stellera chamaejasme can significantly reduce bladder inflammation, the HE staining score, and microvessel density, inhibit VEGF protein expression, and promote bladder cell apoptosis and apoptosis-related protein expression in rats with bladder cancer. This indicates that Stellera chamaejasme may inhibit the progression of bladder cancer by inhibiting micro-angiogenesis and inducing the apoptosis of bladder tumor cells.
Acknowledgments
Funding: This work was funded by Qinghai Province Science and Technology Plan for Applied Basic Research (No. 2018-ZJ-770).
Footnote
Reporting Checklist: The authors have completed the ARRIVE reporting checklist. Available at https://tau.amegroups.com/article/view/10.21037/tau-22-32/rc
Data Sharing Statement: Available at https://tau.amegroups.com/article/view/10.21037/tau-22-32/dss
Conflicts of Interest: All authors have completed the ICMJE uniform disclosure form (available at https://tau.amegroups.com/article/view/10.21037/tau-22-32/coif). The authors have no conflicts of interest to declare.
Ethical Statement:
Open Access Statement: This is an Open Access article distributed in accordance with the Creative Commons Attribution-NonCommercial-NoDerivs 4.0 International License (CC BY-NC-ND 4.0), which permits the non-commercial replication and distribution of the article with the strict proviso that no changes or edits are made and the original work is properly cited (including links to both the formal publication through the relevant DOI and the license). See: https://creativecommons.org/licenses/by-nc-nd/4.0/.
References
- Marandino L, Madison R, Raggi D, et al. Comprehensive genomic profiling (CGP) to reveal new opportunities and challenges in muscle-invasive bladder cancer (MIBC). J Clin Oncol 2021;3:479. [Crossref]
- Garg T, Young AJ, O'Keeffe-Rosetti M, et al. Association between treatment of superficial bladder cancer and 10-year mortality in older adults with multiple chronic conditions. Cancer 2018;124:4477-85. [Crossref] [PubMed]
- Wan W, Zheng B, Sun W, et al. Adjuvant therapy in the treatment of resected nonmetastatic gallbladder cancer of stage II-IV: A generalized propensity score analysis. J Clin Oncol 2021;39:471. [Crossref]
- Ma X, Mao G, Chang R, et al. Down-regulation of autophagy-associated protein increased acquired radio-resistance bladder cancer cells sensitivity to taxol. Int J Radiat Biol 2021;97:507-16. [Crossref] [PubMed]
- Pederzoli F, Locatelli I, Riba M, et al. Stool microbiota profiling of patients with muscle invasive bladder cancer receiving neoadjuvant pembrolizumab. J Clin Oncol 2021;39:4533. [Crossref]
- Jahanshahi H, Shanazari K, Mesrizadeh M, et al. Numerical analysis of Galerkin meshless method for parabolic equations of tumor angiogenesis problem. Eur Phys J Plus 2020;135:866. [Crossref]
- Han W, Sulidankazha Q, Nie X, et al. Pancreatic cancer cells-derived exosomal long non-coding RNA CCAT1/microRNA-138-5p/HMGA1 axis promotes tumor angiogenesis. Life Sci 2021;278:119495. [Crossref] [PubMed]
- Liu Y, Ye Z, Sun H, et al. Grading of uterine cervical cancer by using the ADC difference value and its correlation with microvascular density and vascular endothelial growth factor. Eur Radiol 2013;23:757-65. [Crossref] [PubMed]
- Guo L, Zhao H, Zhai X, et al. Study on life histroy traits of Stellera chamaejasme provide insights into its control on degraded typical steppe. J Environ Manage 2021;291:112716. [Crossref] [PubMed]
- Sadeghi H, Yazdanparast R. Effect of Dendrostellera lessertii on the intracellular alkaline phosphatase activity of four human cancer cell lines. J Ethnopharmacol 2003;86:11-4. [Crossref] [PubMed]
- Liu WK, Cheung FW, Liu BP, et al. Involvement of p21 and FasL in induction of cell cycle arrest and apoptosis by neochamaejasmin A in human prostate LNCaP cancer cells. J Nat Prod 2008;71:842-6. [Crossref] [PubMed]
- Jiang S, Zu Y, Fu Y, et al. Activation of the mitochondria-driven pathway of apoptosis in human PC-3 prostate cancer cells by a novel hydrophilic paclitaxel derivative, 7-xylosyl-10-deacetylpaclitaxel. Int J Oncol 2008;33:103-11. [Crossref] [PubMed]
- Koss L. Diagnostic Cytology and its Histopathological Bases. Proc R Soc Med 1962;55:248. [Crossref]
- Weidner N. Current pathologic methods for measuring intratumoral microvessel density within breast carcinoma and other solid tumors. Breast Cancer Res Treat 1995;36:169-80. [Crossref] [PubMed]
- Ryu H, Jin H, Ho JN, et al. Suberoylanilide Hydroxamic Acid Can Re-sensitize a Cisplatin-Resistant Human Bladder Cancer. Biol Pharm Bull 2019;42:66-72. [Crossref] [PubMed]
- Moltedo B, Faunes F, Haussmann D, et al. Immunotherapeutic effect of Concholepas hemocyanin in the murine bladder cancer model: evidence for conserved antitumor properties among hemocyanins. J Urol 2006;176:2690-5. [Crossref] [PubMed]
- Cai PY, Khan AI, Shoag JE, et al. Robotic Radical Cystectomy in the Contemporary Management of Bladder Cancer. Urol Clin North Am 2021;48:45-50. [Crossref] [PubMed]
- Grubbs CJ, Clapper ML, Reid JM, et al. Metformin promotes tumorigenesis in animal models of cancer prevention. Cancer Res 2013;73:abstr 2273.
- Asada Y, Sukemori A, Watanabe T, et al. Isolation, structure determination, and anti-HIV evaluation of tigliane-type diterpenes and biflavonoid from Stellera chamaejasme. J Nat Prod 2013;76:852-7. [Crossref] [PubMed]
- Wen FF, Li XY, Li YY, et al. Expression of Raptor and Rictor and their relationships with angiogenesis in colorectal cancer. Neoplasma 2020;67:501-8. [Crossref] [PubMed]
- Wang J, Yang L, Fan L, et al. Integrin alpha x stimulates cancer angiogenesis through PI3K/Akt signaling–mediated VEGFR2/VEGF‐A overexpression in blood vessel endothelial cells. J Cell Biochem 2019;120:1807-18. [Crossref] [PubMed]
- Li X, Chen C, Dai Y, et al. Cinobufagin suppresses colorectal cancer angiogenesis by disrupting endothelial mTOR/HIF-1α axis. Cancer Sci 2019;110:1724-34. [Crossref] [PubMed]
- Rajaganeshan R, Chalmers R, Toogood G, et al. The relationship between invasive phenotype and microvessel density (MVD) in colorectal cancers and their liver metastases. J Gastroint Surg 2005;9:579. [Crossref]
- Şahin S, Caglayan MO, Üstündağ Z. Recent advances in aptamer-based sensors for breast cancer diagnosis: special cases for nanomaterial-based VEGF, HER2, and MUC1 aptasensors. Mikrochim Acta 2020;187:549. [Crossref] [PubMed]
- Simonetti O, Lucarini G, Rubini C, et al. Microvessel density and VEGF, HIF-1α expression in primary oral melanoma: correlation with prognosis. Oral Dis 2013;19:620-7. [Crossref] [PubMed]
- Guo H, Wang Y, Jia W, et al. MiR-133a-3p relieves the oxidative stress induced trophoblast cell apoptosis through the BACH1/Nrf2/HO-1 signaling pathway. Physiol Res 2021;70:67-78. [Crossref] [PubMed]
- Liang Y, Yang C, Lin Y, et al. Matrix metalloproteinase 9 induces keratinocyte apoptosis through FasL/Fas pathway in diabetic wound. Apoptosis 2019;24:542-51. [Crossref] [PubMed]
- Ceylan C, Yahşi S, Doğan S, et al. Emphasis of FAS/FASL gene polymorphism in patients with non-muscle invasive bladder cancer. Ir J Med Sci 2018;187:1115-9. [Crossref] [PubMed]
(English Language Editor: C. Mullens)

