Multi-institutional feasibility and safety outcomes of retroperitoneal robot-assisted partial nephrectomy in morbidly obese patients
Highlight box
Key findings
• In 22 morbidly obese patients who underwent robotic-assisted retroperitoneal partial nephrectomy (rRAPN), median operative and warm ischemia times were 186 and 23.5 minutes, respectively.
• Median postoperative length of stay was 2 days, and only one patient experienced a high-grade complication within 30 days of surgery.
What is known and what is new?
• rRAPN provides direct access to the renal hilum while avoiding the peritoneal cavity.
• There has been limited utilization of rRAPN likely due to intimidation of gaining retroperitoneal access and lack of clear anatomical landmarks.
• This retrospective multi-institutional review shows that rRAPN is safe and feasible in morbidly obese patients.
What is the implication, and what should change now?
• Morbid obesity should not exclude patients from undergoing rRAPN.
• rRAPN may have the added benefit in this population of avoidance of intraperitoneal fat, direct hilar access, and easier ventilation secondary to lower intraperitoneal pressure.
Introduction
An estimated 79,000 new cancers of the kidney and renal pelvis will be diagnosed in the United States in 2022 with close to 14,000 ultimately resulting in death (1). Renal cell carcinoma (RCC) constitutes 94% of these cancers, and often requires definitive local therapy. In an effort to preserve kidney function, current guidelines recommend nephron-sparing surgery as standard of care for patients with tumors of limited size and complexity (2). Currently many partial nephrectomies are performed laparoscopically or robotically, as a minimally invasive approach has comparable oncologic outcomes and is associated with a shorter recovery time and fewer complications (3-5).
Retroperitoneal robotic-assisted partial nephrectomy (rRAPN) has the benefit of direct access to the renal hilum & the posterior kidney, while avoiding the peritoneal cavity. A recent meta-analysis showed that rRAPN is associated with lower rates of minor (but not major) complications, shorter operative time, less estimated blood loss (EBL), and shorter length of stay (LOS) than the transperitoneal approach (6). Furthermore, technical advances including improved arm mobility of the Da Vinci Xi robot (Intuitive Surgical, Sunnyvale, CA, USA) and auto-regulating insufflation pressure provided by the AirSeal (CONMED, Utica, NY, USA) have continued to improve the ability to operate in the small retroperitoneal space.
Obesity is a significant risk factor for the development of RCC, with each 5 kg/m2 rise in body mass index (BMI) increasing the risk of RCC by 24–34% (7,8). Additionally, obesity is associated with worse perioperative outcomes including a higher rate of surgical sight infections, difficult ventilation, positioning-related injuries, and postoperative mortality (9-11). While retroperitoneal renal surgery in obese patients has the proposed benefits of avoidance of intraperitoneal fat, direct hilar access, and easier ventilation secondary to lower intraperitoneal pressure, there has been limited utilization of rRAPN likely due to intimidation of gaining retroperitoneal access in an area already challenging due to a lack of clear anatomical landmarks. This is supported by a lack of information published regarding the feasibility and outcomes of rRAPN in obese (BMI ≥30 kg/m2) patients (12,13). The hesitancy to perform rRAPN in obese patients is also likely increases in morbidly obese (BMI ≥40 kg/m2) patients. To understand the safely and feasibility, we report the first multicenter study on rRAPN in morbidly obese patients. We present this article in accordance with the STROBE reporting checklist (available at https://tau.amegroups.com/article/view/10.21037/tau-22-829/rc).
Methods
Study design and population
After obtaining Institutional Review Board approval, we retrospectively reviewed the charts of all patients with a BMI ≥40 kg/m2 treated with rRAPN between 2013 and 2021. Patients were excluded if having a BMI <40 kg/m2 or if undergoing an open or transperitoneal partial nephrectomy. A total of 22 patients were identified having met the study criteria. There were 15 patients identified from the University of Iowa Hospitals and Clinics and 7 patients from Loyola University Medical Center.
rRAPN
Our technique for rRAPN is similar to what has been previously reported (14). The patients were placed in full flank position with large laminotomy gel rolls supporting the back. The patients were secured to the operating room (OR) table with pillows, foam, and appropriately tensioned tape. To limit pressure-related injuries, the table was flexed only until the space between the iliac crest and 12th rib is on tension and therefore maximized. One should avoid additional table flexion as this puts the obese patient at risk of positioning-related injuries such as neuropathy, rhabdomyolysis or compartment syndrome. The retroperitoneal space was entered through a mid-axillary incision two fingerbreadths cephalad to the iliac crest and was either dissected with a spacemaker dissection balloon (Medtronic, Dublin, Ireland) or bluntly with a finger based on the surgeon’s discretion. Four 8-mm robotic trocars were inserted for the 30-degree camera and robotic instruments, as well as a 12-mm AirSeal assistant port (Figure 1). Gerota’s fascia was opened and the renal artery was dissected to be able to apply a clamp. For this study, the decisions to perform preoperative biopsy, renal artery clamping, tumor enucleation or resection, and any renorrhaphy technique were left to the discretion of the surgeon. While most tumors in this study were posteriorly located and able to be accessed directly, anterior tumors were accessed by releasing the kidney from Gerota’s fascia and rotation the kidney in order to visualize the tumor.
Statistical analysis
Data were prospectively and retrospectively collected and stored in a REDCap database supported by Loyola University Medical Center and the University of Iowa, respectively. Patient clinicopathologic features, surgical outcomes, and oncologic outcomes were analyzed and reported. Follow-up data were also analyzed for any post-operative complications or recurrences. Once abstracted from patient charts, post-operative complications were graded according to the Clavien-Dindo Classification criteria. Continuous variables were reported as means if normally distributed, or medians if not. Descriptive statistics were performed using SPSS (IBM, Armonk, NY, USA).
The study was conducted in accordance with the Declaration of Helsinki (as revised in 2013). The study was approved by the institutional ethics boards of the University of Iowa and Loyola University (No. 202104324) and individual consent for this retrospective analysis was waived.
Results
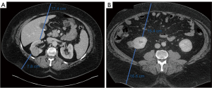
The final cohort included 22 patients with a median BMI of 44.9 kg/m2 [interquartile range (IQR), 42.1–48.8] and median age of 61.0 years (IQR, 47.9–64.6 years). Median duration of follow up was 52 months. Patient demographics and preoperative clinical information are summarized in Table 1. Half (n=11) of the patients were male, and the median preoperative estimated glomerular filtration rate was 81.2 mL/min. The majority (55%) of tumors had a low RENAL (radius, exophytic/endophytic, nearness, anterior/posterior, location) nephrometry score (Table 2). Expectedly, the tumors were predominantly located posteriorly (86.4%). Representative preoperative images of tumors in a male and female patient can be seen in Figure 2. Five patients underwent a renal mass biopsy before undergoing surgery, and the pathologic results were clear-cell RCC in two, papillary RCC in two, and non-diagnostic in one.
Table 1
| Variables | Values |
|---|---|
| Total patients | 22 |
| Median age, years (IQR) | 61.0 (47.9–64.6) |
| Gender (%) | |
| Male | 11 (50.0) |
| Female | 11 (50.0) |
| Race (%) | |
| White | 95.4 |
| Non-white | 4.6 |
| Median BMI, kg/m2 (IQR) | 44.9 (42.1–48.8) |
| Median preoperative eGFR, mL/min (IQR) | 81.2 (66.8–90.1) |
IQR, interquartile range; BMI, body mass index; eGFR, estimated glomerular filtration index.
Table 2
| Variables | Values |
|---|---|
| Total patients | 22 |
| Side, n (%) | |
| Right | 13 (59.1) |
| Left | 9 (40.9) |
| RENAL nephrometry, n (%) | |
| Low | 12 (54.5) |
| Medium | 7 (31.8) |
| High | 2 (9.1) |
| Unknown | 1 (4.5) |
| Localization | |
| Anterior | 1 (4.5) |
| Posterior | 19 (86.4) |
| Central | 1 (4.5) |
| Unknown | 1 (4.5) |
| Preoperative biopsy, n (%) | |
| Yes | 5 (22.7) |
| No | 17 (77.3) |
RENAL, radius, exophytic/endophytic, nearness, anterior/posterior, location.
Intraoperative details of obese patients undergoing rRAPN is outlined in Table 3. Median operative time was 186.0 minutes and median EBL was only 50.2 mL. A standard-margin partial nephrectomy was performed in 68.2% of cases, whereas an enucleation technique was performed in 31.8% of cases. When the hilum was clamped, the median warm ischemia time was 23.5 minutes. The median LOS was 2 days. There were four complications within 30 days of surgery, only one of which was Clavien-Dindo grade ≥3. This grade 3 complication occurred in a patient with a BMI of 59 who developed a minimally symptomatic pneumothorax that required non-urgent chest tube placement on postoperative day (POD) 2. The same patient was then readmitted on POD 8 with painless gross hematuria. He underwent an angiogram which did not reveal any pseudoaneurysm or arteriovenous fistula and was discharged on POD 9 after his hematuria spontaneously resolved.
Table 3
| Variables | Values |
|---|---|
| Total patients | 22 |
| Median operative time, min (IQR) | 186.0 (146.8–260.8) |
| Median EBL, mL (IQR) | 50.2 (22.5–135.0) |
| Resection technique, n (%) | |
| Standard margin partial nephrectomy | 15 (68.2) |
| Enucleation | 7 (31.8) |
| Median WIT (if hilum clamped), min (IQR) | 23.5 (13.8–28.3) |
| Median LOS, days (IQR) | 2 (1–2.25) |
| Complications, n (%) | |
| None | 18 (81.8) |
| Low-grade [1–2] | 3 (13.6) |
| High-grade [≥3] | 1 (4.5) |
IQR, interquartile range; EBL, estimated blood loss; WIT, warm ischemia time; LOS, length of stay.
Upon pathological examination, 19 (86.4%) patients were found to have RCC. The most common malignant tumor types were clear cell (68.2%), papillary (13.6%), and chromophobe (4.5%) (Table 4). The most common International Society of Urological Pathology grade among malignant tumors was grade 2 (54.5%). All tumors were pathologic stage 1, most commonly pT1a (68.2%). While two patients experienced a local tumor recurrence during the follow-up period, both had negative margins at the time of rRAPN.
Table 4
| Variables | Values |
|---|---|
| Total patients | 22 |
| Histology, n (%) | |
| Clear cell RCC | 15 (68.2) |
| Papillary RCC | 3 (13.6) |
| Chromophobe RCC | 1 (4.5) |
| Angiomyolipoma | 2 (9.1) |
| Benign Bosniak 3 cyst | 1 (4.5) |
| Median size, mm (IQR) | 2.5 (2.0–3.5) |
| Stage, n (%) | |
| pT1a | 15 (68.2) |
| pT1b | 4 (18.2) |
| ≥ pT2 | 0 (0) |
| ISUP grade, n (%) | |
| Grade 1 | 0 (0) |
| Grade 2 | 12 (54.5) |
| Grade 3 | 6 (27.3) |
| Grade 4 | 0 (0) |
| Not reported | 4 (18.2) |
RCC, renal cell carcinoma; IQR, interquartile range; ISUP, International Society of Urological Pathology.
Discussion
Over the past decade, retroperitoneal laparoscopic and robot-assisted surgical techniques have been increasingly utilized for partial nephrectomy. The role of patient BMI on the feasibility of rRAPN has yet to be fully described in this setting. Our multi-institutional experience performing rRAPN in a patient population with a median BMI of 44.9 kg/m2 and low nephrometry score of 6 demonstrated consistent surgical outcomes compared to reports over the last decade of rRAPN in non-morbidly obese patients (13,15-26) (Table S1). Patients presented in our study had acceptable median EBL and operative times of 50.2 mL and 186.0 minutes, respectively that are in line with what has been previously reported in obese patients (13). Post-operative courses were largely uncomplicated with <5% of patients experiencing grade ≥3 complications.
The safety and feasibility of transperitoneal robotic-assisted partial nephrectomy (tRAPN) in obese patients has been evaluated. A multi-institutional analysis found that while obese patients undergoing tRAPN had a longer operative times (median 176 minutes) and higher EBL (median 150 mL) compared to non-obese patients, transfusion requirements were no different and obesity was not an independent risk factor for operative time when controlled for nephrometry score and tumor size (27). The median operative time of 186.0 minutes in this study is similar, and we experienced a median EBL of only 50.2 mL. The data regarding complication rates in obese patients undergoing tRAPN is mixed. Rosen et al. found no correlation between obesity and complication rate in 1,770 patients undergoing tRAPN (28). A study by Kott et al. interestingly found that complication rates were lower with increasing BMI up to an inflection point of 30 kg/m2, after which complication rates increased with increasing BMI (29). The difficulty of tRAPN in obese patients is multifactorial. There may be need for longer robotic trocars, and oftentimes mobility is limited and exposure poor due to significant perinephric fat. This can be particularly challenging in patients with posterior tumors as the entire kidney needs to be rotated in order to access the tumor during tRAPN. This increase in OR time combined with obesity is a typical clinical scenario for pressure injury-related such as rhabdomyolysis (30).
While robotic partial nephrectomy can be performed through a transperitoneal or retroperitoneal approach, there are several benefits inherent to rRAPN. rRAPN avoids the peritoneal cavity which can be hostile in patients with prior abdominal surgery. The potential for postoperative ileus is minimized as there is no need for bowel mobilization, and CO2 pneumoperitoneum, blood, and urine are confined to the retroperitoneum. Finally, the renal artery is encountered after a shorter dissection time with a retroperitoneal approach and there is more direct access to posterior tumors. While overcoming the limited working space in the retroperitoneum has historically been a challenge, the improved arm spacing of smaller profile newer robotic platforms allows for frequent use of the fourth arm to aid in retraction (31). Some of these benefits make retroperitoneal robotic renal surgery particularly well suited for obese patients, as obese patients have a large pannus and extensive intraperitoneal fat, which can make a transperitoneal approach challenging. It is commonly accepted that flank adipose tissue distribution tends to be more limited in obese patients relative to the central/trunk region. We particularly observe this is in obese females, although not in every woman (32). These potential advantages were supported by the observation that laparoscopic retroperitoneal radical nephrectomy has been compared to transperitoneal radical nephrectomy in obese patients, and was associated with lower EBL, shorter operative time, and shorter LOS (12).
There have been few studies comparing rRAPN to tRAPN in obese patients. Rosen et al. evaluated the impact of obesity on patients undergoing RAPN and noted equivalent perioperative outcomes in obese and non-obese patients (28). In that study median operative time was 155 minutes in patients with a BMI <25 kg/m2 versus 196 minutes in patients with a BMI ≥40 kg/m2. A median operative time of 186.0 minutes reported here is comparable. While both transperitoneal and retroperitoneal approaches were reportedly used by Rosen et al., there was no comparison of the two approaches. There is only one study to date specifically evaluating the feasibility of rRAPN in obese patients (13). In the study by Malki et al., 110 patients with a BMI ≥30 kg/m2 who underwent rRAPN were evaluated. Tumor characteristics were comparable to the cohort in this study (median tumor size 3.2 cm, median nephrometry score of 6), however, the median BMI of 33.1 kg/m2 was quite lower than the median BMI of 44.9 kg/m2 presented in our study. The median operative time of 130 minutes in Malki’s study was not surprisingly shorter than the median operative time in the current study given the differing degrees of obesity. While operative times in our study were modestly longer than what would be expected in non-obese patients, they were still acceptable and no patient experience any rhabdomyolysis, neuropathy, or other complications related to prolonged operative time in the flank position.
There are certain aspects of rRAPN that may leave surgeons hesitant to attempt it in the obese patient. The significant amount of subcutaneous and retroperitoneal fat can make access to the retroperitoneum challenging. For this reason, we prefer to initially enter the retroperitoneum with an optical trocar in order to visualize the fascial layers and assess for appropriate depth with the end point of the psoas muscle (31). As the retroperitoneal space is void of the usual transperitoneal landmarks, it can be easy to become disoriented, particularly in a patient with abundant adipose tissue. While the above limitations can be overcome with experience, we recommend surgeons become facile with rRAPN in non-obese patients before expanding the procedure to morbidly obese patients.
Our study has several notable limitations. This is a retrospective review and likely has unmeasured bias regarding patient selection and follow-up. As there is no tRAPN or BMI <30 kg/m2 rRAPN cohorts reported, direct comparisons cannot be made between the two approaches. However, our cohort outcomes are comparable to the multitude of papers published regarding rRAPN in patients with BMI <30 kg/m2 (15-18,20-24,26). As the majority of tumors in this study had low complexity based on nephrometry score, our results may not be applicable to more complex tumors. Finally, surgeries were completed at tertiary referral centers by high-volume surgeons, and therefore results may have limited applicability to less experienced rRAPN surgeons.
Conclusions
The series underlined the feasibility, reproducibility, and relatively low complication rate of rRAPN in select morbidly obese patients. This approach provided direct access to the renal hilum, avoids the intraperitoneal cavity, and avoids the significant abdominal pannus in intimidating morbidly obese patients. Immediate perioperative outcomes are similar to tRAPN, however, additional studies and follow-up are needed to better assess general applicability and long-term impacts.
Acknowledgments
Funding: None.
Footnote
Reporting Checklist: The authors have completed the STROBE reporting checklist. Available at https://tau.amegroups.com/article/view/10.21037/tau-22-829/rc
Data Sharing Statement: Available at https://tau.amegroups.com/article/view/10.21037/tau-22-829/dss
Peer Review File: Available at https://tau.amegroups.com/article/view/10.21037/tau-22-829/prf
Conflicts of Interest: All authors have completed the ICMJE uniform disclosure form (available at https://tau.amegroups.com/article/view/10.21037/tau-22-829/coif). The authors have no conflicts of interest to declare.
Ethical Statement: The authors are accountable for all aspects of the work in ensuring that questions related to the accuracy or integrity of any part of the work are appropriately investigated and resolved. The study was conducted in accordance with the Declaration of Helsinki (as revised in 2013). The study was approved by the institutional ethics boards of the University of Iowa and Loyola University (No. 202104324) and individual consent for this retrospective analysis was waived
Open Access Statement: This is an Open Access article distributed in accordance with the Creative Commons Attribution-NonCommercial-NoDerivs 4.0 International License (CC BY-NC-ND 4.0), which permits the non-commercial replication and distribution of the article with the strict proviso that no changes or edits are made and the original work is properly cited (including links to both the formal publication through the relevant DOI and the license). See: https://creativecommons.org/licenses/by-nc-nd/4.0/.
References
- Siegel RL, Miller KD, Fuchs HE, et al. Cancer statistics, 2022. CA Cancer J Clin 2022;72:7-33. [Crossref] [PubMed]
- Campbell S, Uzzo RG, Allaf ME, et al. Renal Mass and Localized Renal Cancer: AUA Guideline. J Urol 2017;198:520-9. [Crossref] [PubMed]
- Cha EK, Lee DJ, Del Pizzo JJ. Current status of robotic partial nephrectomy (RPN). BJU Int 2011;108:935-41. [Crossref] [PubMed]
- Pierorazio PM, Patel HD, Feng T, et al. Robotic-assisted versus traditional laparoscopic partial nephrectomy: comparison of outcomes and evaluation of learning curve. Urology 2011;78:813-9. [Crossref] [PubMed]
- Cheung H, Wang Y, Chang SL, et al. Adoption of Robot-Assisted Partial Nephrectomies: A Population-Based Analysis of U.S. Surgeons from 2004 to 2013. J Endourol 2017;31:886-92. [Crossref] [PubMed]
- Zhu D, Shao X, Guo G, et al. Comparison of Outcomes Between Transperitoneal and Retroperitoneal Robotic Partial Nephrectomy: A Meta-Analysis Based on Comparative Studies. Front Oncol 2021;10:592193. [Crossref] [PubMed]
- Renehan AG, Tyson M, Egger M, et al. Body-mass index and incidence of cancer: a systematic review and meta-analysis of prospective observational studies. Lancet 2008;371:569-78. [Crossref] [PubMed]
- Padala SA, Barsouk A, Thandra KC, et al. Epidemiology of Renal Cell Carcinoma. World J Oncol 2020;11:79-87. [Crossref] [PubMed]
- Giles KA, Hamdan AD, Pomposelli FB, et al. Body mass index: surgical site infections and mortality after lower extremity bypass from the National Surgical Quality Improvement Program 2005-2007. Ann Vasc Surg 2010;24:48-56. [Crossref] [PubMed]
- Bale E, Berrecloth R. The obese patient. Anaesthetic issues: airway and positioning. J Perioper Pract 2010;20:294-9. [Crossref] [PubMed]
- Abufaraj M, Mari A, Mansy K, et al. Obesity and its implications on oncological urological surgery. Curr Opin Urol 2017;27:446-55. [Crossref] [PubMed]
- Berglund RK, Gill IS, Babineau D, et al. A prospective comparison of transperitoneal and retroperitoneal laparoscopic nephrectomy in the extremely obese patient. BJU Int 2007;99:871-4. [Crossref] [PubMed]
- Malki M, Oakley J, Hussain M, et al. Retroperitoneal Robot-Assisted Partial Nephrectomy in Obese Patients. J Laparoendosc Adv Surg Tech A 2019;29:1027-32. [Crossref] [PubMed]
- Ghani KR, Porter J, Menon M, et al. Robotic retroperitoneal partial nephrectomy: a step-by-step guide. BJU Int 2014;114:311-3. [Crossref] [PubMed]
- Patel M, Porter J. Robotic retroperitoneal surgery: a contemporary review. Curr Opin Urol 2013;23:51-6. [Crossref] [PubMed]
- Tanaka K, Shigemura K, Furukawa J, et al. Comparison of the transperitoneal and retroperitoneal approach in robot-assisted partial nephrectomy in an initial case series in Japan. J Endourol 2013;27:1384-8. [Crossref] [PubMed]
- Hu JC, Treat E, Filson CP, et al. Technique and outcomes of robot-assisted retroperitoneoscopic partial nephrectomy: a multicenter study. Eur Urol 2014;66:542-9. [Crossref] [PubMed]
- Choo SH, Lee SY, Sung HH, et al. Transperitoneal versus retroperitoneal robotic partial nephrectomy: matched-pair comparisons by nephrometry scores. World J Urol 2014;32:1523-9. [Crossref] [PubMed]
- Sharma P, McCormick BZ, Zargar-Shoshtari K, et al. Is surgeon intuition equivalent to models of operative complexity in determining the surgical approach for nephron sparing surgery? Indian J Urol 2016;32:124-31. [Crossref] [PubMed]
- Maurice MJ, Kaouk JH, Ramirez D, et al. Robotic Partial Nephrectomy for Posterior Tumors Through a Retroperitoneal Approach Offers Decreased Length of Stay Compared with the Transperitoneal Approach: A Propensity-Matched Analysis. J Endourol 2017;31:158-62. [Crossref] [PubMed]
- Stroup SP, Hamilton ZA, Marshall MT, et al. Comparison of retroperitoneal and transperitoneal robotic partial nephrectomy for Pentafecta perioperative and renal functional outcomes. World J Urol 2017;35:1721-8. [Crossref] [PubMed]
- Xia Y, Wang GX, Fu B, et al. Evaluation of the Clinical Use of Robot-Assisted Retroperitoneal Laparoscopy and Preoperative RENAL Scoring for Nephron Sparing Surgery in Renal Tumor Patients. Indian J Surg 2018;80:252-8. [Crossref] [PubMed]
- Arora S, Heulitt G, Moon D, et al. MP42-13 Retroperitoneal versus transperitoneal robot-assisted partial nephrectomy: Comparison in a multi-institutional setting. J Urol 2018;199:e541. [Crossref]
- Mittakanti HR, Heulitt G, Li HF, et al. Transperitoneal vs. retroperitoneal robotic partial nephrectomy: a matched-paired analysis. World J Urol 2020;38:1093-9. [Crossref] [PubMed]
- Abaza R, Gerhard RS, Martinez O. Feasibility of adopting retroperitoneal robotic partial nephrectomy after extensive transperitoneal experience. World J Urol 2020;38:1087-92. [Crossref] [PubMed]
- Harke NN, Darr C, Radtke JP, et al. Retroperitoneal Versus Transperitoneal Robotic Partial Nephrectomy: A Multicenter Matched-pair Analysis. Eur Urol Focus 2021;7:1363-70. [Crossref] [PubMed]
- Abdullah N, Dalela D, Barod R, et al. Robotic partial nephrectomy for renal tumours in obese patients: Perioperative outcomes in a multi-institutional analysis. Can Urol Assoc J 2015;9:E859-62. [Crossref] [PubMed]
- Rosen DC, Kannappan M, Kim Y, et al. The Impact of Obesity in Patients Undergoing Robotic Partial Nephrectomy. J Endourol 2019;33:431-7. [Crossref] [PubMed]
- Kott O, Golijanin B, Pereira JF, et al. The BMI Paradox and Robotic Assisted Partial Nephrectomy. Front Surg 2020;6:74. [Crossref] [PubMed]
- Glassman DT, Merriam WG, Trabulsi EJ, et al. Rhabdomyolysis after laparoscopic nephrectomy. JSLS 2007;11:432-7. [PubMed]
- Feliciano J, Stifelman M. Robotic retroperitoneal partial nephrectomy: a four-arm approach. JSLS 2012;16:208-11. [Crossref] [PubMed]
- Kaess BM, Pedley A, Massaro JM, et al. The ratio of visceral to subcutaneous fat, a metric of body fat distribution, is a unique correlate of cardiometabolic risk. Diabetologia 2012;55:2622-30. [Crossref] [PubMed]

