Stereotactic body radiotherapy-induced abscopal effect twice after pembrolizumab failure in hereditary leiomyomatosis and renal cell carcinoma: a case report with genetic and immunologic analysis
Introduction
Hereditary leiomyomatosis and renal cell carcinoma (HLRCC) is a rare type of kidney cancer that is typically associated with skin leiomyoma and uterine fibroids. It is characterized by germline mutation of fumarate hydratase (FH), and often recur and metastasis early after radical nephrectomy (1).
At present, the NCCN guidelines recommend enrollment in clinical trials or sunitinib as the first-line systemic treatment for non-clear cell renal cell carcinoma (nccRCC) including HLRCC. However, the efficacy of sunitinib remains unsatisfactory with an objective response rate of only 9–11% and a progression-free survival (PFS) of only 5–6 months (2,3). The combination of bevacizumab with erlotinib is another possible regimen with a reported median PFS of 21.1 months and a manageable adverse event (AE) profile (grade ≥3 AE: 49%) from a phase II trial, in which 79% (34/43) of the HLRCC patients were first-line treated (4). The treatment experience of refractory HLRCC is even less.
Recently, two small sample-sized (n=10 and n=16) studies reported high positivity (80–90%) of PD-L1 expression in HLRCC; suggesting the potential application of immune checkpoint inhibitors (ICIs) (5,6). As a boost to improve immunotherapeutic outcomes, stereotactic body radiotherapy (SBRT) has been suggested as an ideal partner in some solid tumors (7,8). A pooled analysis of two randomized trials on metastatic non-small cell lung cancer (NSCLC) reported that the application of radiotherapy with pembrolizumab was associated with an improvement in median OS from 8.7 months to 19.2 months compared to pembrolizumab alone, without significant increase in toxicity (9). However, little is known about the effect of ICIs with SBRT in HLRCC. In this report, we describe a refractory HLRCC case who responded unexpectedly well to pembrolizumab followed by SBRT. Next-generation sequencing (NGS) and immunohistochemical staining (IHC) of the primary and metastatic tumor samples were performed to explore the immunologic characteristics.
We present the following article in accordance with the CARE reporting checklist (available at https://dx.doi.org/10.21037/tau-21-644).
Case presentation
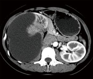
A 34-year-old Chinese woman complaining of an increasingly right-sided lumbago after she discovered a palpable right lumbar mass since November 2012. After admission, computed tomography (CT) imaging showed a 12.2 cm × 7.9 cm × 13.2 cm mass in her right kidney with enlarged retroperitoneal lymph nodes (RPLNs) in close proximity to major renal and abdominal blood vessels, without any distant metastasis (Figure 1) and multiple uterine fibroids were identified on PET-CT. On December 7, 2012, she underwent radical right-sided nephrectomy with RPLNs dissection and was pathologically diagnosed as pT2N1M0 nccRCC with the morphological feature of type 2 papillary renal cell carcinoma without adjuvant therapy. The timeline of this case is shown in Figure 2.
Eight months (September 17th, 2013) after the nephrectomy, a follow-up CT scan observed relapse at the RPLNs and right-side psoas muscle metastasis. Sunitinib (50 mg QD, 4 weeks on, 2 weeks off) was prescribed and she achieved partial response (PR). Twenty-eight months (January 1st, 2016) later, she gradually developed ascites, characterized by abdominal distention and shortness of breath, which were not improving despite second-line treatment with axitinib (5 mg, QD) for 3 months. Subsequently, she received pembrolizumab (20 mg Q2W with cytokine-induced killer cells) concurrent with axitinib. As a result, a significant reduction in ascites was observed and she restarted working in June 2016. However, due to economic issues, she stopped pembrolizumab in January 2017 and the RPLN progressed shortly after two weeks. She restarted pembrolizumab (20 mg Q2W) from July 2017 and achieved PR again (Figure 3). In December 2017, she stopped pembrolizumab because of disease progression identified by two enhanced mass lesions at the splenic hilum and subcutaneous abdominal wall.
To identify a potentially effective regimen, we used the formalin-fixed paraffin-embedding (FFPE) tissue of primary renal sample for NGS and FFPE tissue of the metastatic abdominal wall mass for targeted sequencing (the methods can be seen in Appendix 1). FH gene germline heterozygous mutation was found both in the primary and metastatic samples, and she was diagnosed as HLRCC. High tumor mutational burden score (11.05 vs. 0.76 mut/Mb) and a high PTEN gene somatic mutation frequency (51.04% vs. none) were also observed in the post-treated metastatic samples but not in the pre-treated primary samples (Figure 4). A follow-up CT scan revealed that her current main tumor lesion was still the retroperitoneal mass (RPLN fusion, 8.0 cm × 6.1 cm) and radiotherapy was recommended after multidisciplinary team discussion in February 2018.
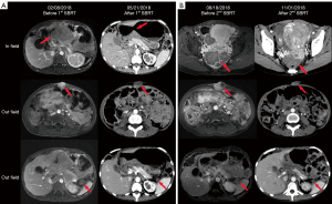
In March 2018, she received SBRT for the retroperitoneal mass with a total dose of 30Gy in 6 fractions, and 2 months later (May 21st, 2018) both the in-field and out-field tumors dramatically shrunk (Figure 5A). In August 2018, the follow-up CT scan revealed a new pelvic metastasis, then a subsequent SBRT (30 Gy/6 F) was given for the pelvic mass, and again 2 months later (November 1st, 2018) she achieved PR for both the in-field and out-field tumors (Figure 5B). However, after the second SBRT in January 2019, multiple new metastases were observed.
To determine possibly effective drugs, a mini patient-derived xenograft (MiNiPDX), was constructed (the method can be seen in Appendix 1) and a combination of everolimus and bevacizumab was identified as the most effective regimen (Figure 6). She was thereby given everolimus (10 mg, QD) and bevacizumab (200 mg, Q3W) from June 16th, 2019, and achieved PR. However, the regimen had to be suspended because her renal and liver function deteriorated, and she finally died from tumor progression and multiple organs failure on July 10, 2019.
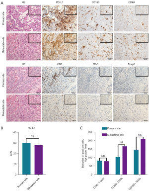
After the patient’s death, to further investigate the cause for her long 20-month good response to immunotherapy, we explored the characteristics of her tumor immune microenvironment (TIME) for a series of immune-related factors in her primary and metastatic tumor samples via IHC (Figure 7). All the antibodies for IHC and the method of analysis can be seen in Appendix 1. Our findings showed that this could be related to a high positivity of PD-L1 expression in her tumor cells (primary cells: CPS=30, metastatic cells: CPS=28) and CD8+ T cells (primary: 82.22±28.33/high power field, metastasis: 78.89±13.47/high power field), and negative expression of PD-1 and Foxp3 in the intratumoral and peritumoral areas of her primary and metastatic tumors.
All procedures performed in this study involving human participants were in accordance with the ethical standards of the institutional and/or national research committee(s) and with the Helsinki Declaration (as revised in 2013). Written informed consent was obtained from the parents of the patient for publication of this case report and accompanying images. A copy of the written consent is available for review by the editorial office of this journal.
Discussion
To our knowledge, this is the first case of HLRCC that demonstrated an unexpectedly good response to ICI-based treatment followed by SBRT, with abscopal effect observed twice during the treatment period, in a patient with bulky relapsed HLRCC. HLRCC is a rare type of refractory disease without definitive consensus on its management. Although the guidelines have not yet recommended ICIs for HLRCC, there are data indicating the potential benefit of ICIs in such patients (10). Similar to the findings of Furuya et al. (7/10 cases; PD-L1 positivity: 2+) and Sun et al. (8/16 cases; PD-L1 expression ≥30%), high expression of PD-L1 was also observed in our HLRCC case (5,6). She achieved PR on ICI-based therapy and her lesions were controlled for 20 months; consistent with the observation by Sun et al. who found that for FH-deficient metastatic renal cell carcinoma patients receiving ICIs based therapy (n=6), their median PFS was significantly longer than those treated with antiangiogenic monotherapy (n=12) (13.3 vs. 5.1 months) (6). In addition, the TIME of our case had a relatively high infiltration degree of CD8+ T cells without Foxp3+ Treg cells, indicating a favorable baseline microenvironment for ICI therapy. Taken together, we suggested that HLRCC characterized by high positivity of PD-L1 expression and CD8+ T cells infiltration could be a good candidate for ICIs therapy.
Despite some research on the underlying resistance mechanism of action of ICIs, however, this remains largely unclear (11,12). Recently, somatic PTEN mutations were found to be associated with resistance to ICIs by altering immunosuppressive environments in glioblastoma (13). PTEN-mutant tumors were more likely to have elevated levels of CD68+ TAMs infiltration, which was associated with poor survival in glioblastoma (13). In the post-ICI failure metastatic tissues of the present case, a high frequency of somatic PTEN mutation was observed with a trend of elevated levels of CD68+ TAMs infiltration compared to those in pre-treated primary tumor sites, but no significant difference was observed. Collectively, these data indicated that PTEN mutations might be one of the important triggers for resistance to ICIs in human cancers, including HLRCC.
Renal cell carcinoma is generally believed to be radioresistant, however, the patient reported in this study had unexpected good sensitivity to radiotherapy. Although the prescribed radiation dose was relatively low, for avoiding damage of surrounding normal organs such as the small intestine, the in-field tumor shrunk dramatically only 2 months after the completion of SBRT. Recently, Ma et al. reported that the inhibition of nuclear PTEN tyrosine phosphorylation caused by PTEN mutation could enhance the radiosensitivity of glioma through attenuated DNA repair (14). Thus, we speculated that PTEN mutation (Figure 4), which was reported to be associated with ICIs resistance, might have also contributed to the radiosensitization of the present HLRCC case.
It was also very interesting to observe abscopal effects induced by SBRT twice even after progression on pembrolizumab, referring to the regression of metastatic tumors at distant sites that were not irradiated. SBRT is well accepted as the optimal partner of immunotherapy, acting as an in-situ vaccine for enhancing the systemic efficacy of immunotherapy (15). Besides, immunotherapy has been applied to boost the abscopal effect, usually in concurrent or after SBRT (7,15). However, the optimal timing of combining radiotherapy and immunotherapy is still unclear. A randomized phase 1 trial reported that concomitant rather than sequential SBRT with pembrolizumab in metastatic UC patients had better OS (12.1 vs. 4.5 months) (16). Recently, two patients with metastatic Merkel cell carcinoma that progressed on pembrolizumab were also reported to have an abscopal effect after a short course of radiation therapy by Xu et al. (17). In our case, the patient became resistant to pembrolizumab with axitinib after 20 months with multiple tumor progression. When adding SBRT to the main tumor lesion, irradiated tumor lesion achieved PR and non-irradiated tumor lesions regenerated an immune response which was the immunostimulatory effect of SBRT. These data suggested that SBRT may have synergistic effects with immunotherapy even in the setting of patients who were proven to be progressing on ICIs.
Based on this case, we theorize that when the first-time immunostimulatory effect of SBRT occurred, restarting ICIs treatment might be considered to maintain long-term positive feedback; supported by the observation that in melanoma, a proportion of patients had persistent regression of out-field lesions when ICI was continued after SBRT to a lesion that had progressed on ICI-based treatment (18). Also, as the liver and renal function of this patient progressively deteriorated after multimodal treatments, earlier application of supportive therapy such as interventional therapy and/or dialysis could be considered to either prevent or delay such outcomes.
Conclusions
Here, we report a refractory HLRCC case who had an initial good response to pembrolizumab combined therapy and abscopal effect induced by SBRT twice after progression on pembrolizumab. This case suggests that even low dose SBRT may synergistically work with ICIs in HLRCC, indicating that tumor-infiltrating immune cells and PD-L1 expression level might be an important factor to engage SBRT-induced abscopal effect. ICIs combined with SBRT might be a promising strategy for HLRCC, but further studies are needed to determine the effectiveness of this regimen in the clincal cohort and uncover the underlying mechanisms.
Acknowledgments
We would like to thank Dr. Seeruttun Sharvesh Raj for his help in polishing our paper.
Funding: This work was supported by a grant from the Nature Science Foundation of China (Grant number: No. 81772483).
Footnote
Reporting Checklist: The authors have completed the CARE reporting checklist. Available at https://dx.doi.org/10.21037/tau-21-644
Conflicts of Interest: All authors have completed the ICMJE uniform disclosure form (available at https://dx.doi.org/10.21037/tau-21-644). The authors have no conflicts of interest to declare.
Ethical Statement: The authors are accountable for all aspects of the work in ensuring that questions related to the accuracy or integrity of any part of the work are appropriately investigated and resolved. All procedures performed in studies involving human participants were in accordance with the ethical standards of the institutional and/or national research committee(s) and with the Helsinki Declaration (as revised in 2013). Written informed consent was obtained from the parents of the patient for publication of this case report and accompanying images. A copy of the written consent is available for review by the editorial office of this journal.
Open Access Statement: This is an Open Access article distributed in accordance with the Creative Commons Attribution-NonCommercial-NoDerivs 4.0 International License (CC BY-NC-ND 4.0), which permits the non-commercial replication and distribution of the article with the strict proviso that no changes or edits are made and the original work is properly cited (including links to both the formal publication through the relevant DOI and the license). See: https://creativecommons.org/licenses/by-nc-nd/4.0/.
References
- Chen YB, Brannon AR, Toubaji A, et al. Hereditary leiomyomatosis and renal cell carcinoma syndrome-associated renal cancer: recognition of the syndrome by pathologic features and the utility of detecting aberrant succination by immunohistochemistry. Am J Surg Pathol 2014;38:627. [Crossref] [PubMed]
- Tannir NM, Jonasch E, Albiges L, et al. Everolimus versus sunitinib prospective evaluation in metastatic non-clear cell renal cell carcinoma (ESPN): a randomized multicenter phase 2 trial. Eur Urol 2016;69:866-74. [Crossref] [PubMed]
- Ravaud A, Oudard S, De Fromont M, et al. First-line treatment with sunitinib for type 1 and type 2 locally advanced or metastatic papillary renal cell carcinoma: a phase II study (SUPAP) by the French Genitourinary Group (GETUG). Ann Oncol 2015;26:1123-8. [Crossref] [PubMed]
- Srinivasan R, Gurram S, Al Harthy M, et al. Results from a phase II study of bevacizumab and erlotinib in subjects with advanced hereditary leiomyomatosis and renal cell cancer (HLRCC) or sporadic papillary renal cell cancer. J Clin Oncol 2020;38. Abstract 5004. [Crossref]
- Furuya M, Iribe Y, Nagashima Y, et al. Clinicopathological and molecular features of hereditary leiomyomatosis and renal cell cancer-associated renal cell carcinomas. J Clin Pathol 2020;73:819-25. [Crossref] [PubMed]
- Sun G, Zhang X, Liang J, et al. Integrated Molecular Characterization of Fumarate Hydratase-deficient Renal Cell Carcinoma. Clin Cancer Res 2021;27:1734-43. [Crossref] [PubMed]
- Liu Y, Dong Y, Kong L, et al. Abscopal effect of radiotherapy combined with immune checkpoint inhibitors. J Hematol Oncol 2018;11:1-15. [Crossref] [PubMed]
- Zhuang H. Abscopal effect of stereotactic radiotherapy combined with anti-PD-1/PD-L1 immunotherapy: Mechanisms, clinical efficacy, and issues. Cancer Commun (Lond) 2020;40:649-54. [Crossref] [PubMed]
- Theelen WSME, Chen D, Verma V, et al. Pembrolizumab with or without radiotherapy for metastatic non-small-cell lung cancer: a pooled analysis of two randomised trials. Lancet Respir Med 2021;9:467-75. [Crossref] [PubMed]
- Lavacchi D, Pellegrini E, Palmieri VE, et al. Immune Checkpoint Inhibitors in the Treatment of Renal Cancer: Current State and Future Perspective. Int J Mol Sci 2020;21:4691. [Crossref] [PubMed]
- Sharma P, Hu-Lieskovan S, Wargo JA, et al. Primary, Adaptive, and Acquired Resistance to Cancer Immunotherapy. Cell 2017;168:707-23. [Crossref] [PubMed]
- Li SJ, Chen JX, Sun ZJ. Improving antitumor immunity using antiangiogenic agents: Mechanistic insights, current progress, and clinical challenges. Cancer Commun (Lond) 2021;41:830-50. [Crossref] [PubMed]
- Cheng F, Eng C. PTEN mutations trigger resistance to immunotherapy. Trends Mol Med 2019;25:461-3. [Crossref] [PubMed]
- Ma J, Benitez JA, Li J, et al. Inhibition of nuclear PTEN tyrosine phosphorylation enhances glioma radiation sensitivity through attenuated DNA repair. Cancer Cell 2019;35:504-18.e7. [Crossref] [PubMed]
- Ngwa W, Irabor OC, Schoenfeld JD, et al. Using immunotherapy to boost the abscopal effect. Nat Rev Cancer 2018;18:313-22. [Crossref] [PubMed]
- Sundahl N, Vandekerkhove G, Decaestecker K, et al. Randomized Phase 1 Trial of Pembrolizumab with Sequential Versus Concomitant Stereotactic Body Radiotherapy in Metastatic Urothelial Carcinoma. Eur Urol 2019;75:707-11. [Crossref] [PubMed]
- Xu MJ, Wu S, Daud AI, et al. In-field and abscopal response after short-course radiation therapy in patients with metastatic Merkel cell carcinoma progressing on PD-1 checkpoint blockade: a case series. J Immunother Cancer 2018;6:43. [Crossref] [PubMed]
- Ribeiro Gomes J, Schmerling RA, Haddad CK, et al. Analysis of the Abscopal Effect With Anti-PD1 Therapy in Patients With Metastatic Solid Tumors. J Immunother 2016;39:367-72. [Crossref] [PubMed]



